Elbow injuries and fractures
Peer reviewed by Dr Colin Tidy, MRCGPLast updated by Dr Hayley Willacy, FRCGP Last updated 27 Jun 2024
Meets Patient’s editorial guidelines
- DownloadDownload
- Share
- Language
- Discussion
Medical Professionals
Professional Reference articles are designed for health professionals to use. They are written by UK doctors and based on research evidence, UK and European Guidelines. You may find the Forearm injuries and fractures article more useful, or one of our other health articles.
In this article:
The humerus of the upper arm and the paired radius and ulna of the forearm meet to form the elbow joint, a hinge joint in the upper arm. The bony prominence at the tip of the elbow is the olecranon process of the ulna. The antecubital fossa lies over the anterior aspect of the elbow.
Injuries to the elbow are common, usually occur secondary to indirect trauma and are often accompanied by injury to shoulder or wrist joints.1 It is important to assess injuries promptly and accurately, taking into account age and the mechanism of injury, particularly because of the risk of accompanying vascular involvement. The elbow extension test is a useful screening tool for bony injury - although not infallible.23
In addition to injuries listed in the table below, see also the separate Forearm injuries and fractures (deals with Monteggia's fractures), Radial head subluxation (nursemaid's elbow), Tennis elbow and golfer's elbow and Olecranon bursitis articles.
The mechanism of injury
There are a variety of possible injuries because of the presence of three bones and the range of mechanisms of injury.
Radial head and neck fractures | Fall on to an outstretched hand |
Olecranon fractures | Elderly - indirect trauma by pull of triceps and brachioradialis Children - direct blow to elbow |
Fractures of the coronoid process | Fall on to an extended elbow as for elbow dislocation |
Fractures of the distal humerus | Fall on to an extended outstretched hand |
Intercondylar fractures | Direct or indirect blow to elbow |
Condylar fractures | Direct blow to a flexed elbow |
Capitellum fracture | Fall on to an outstretched hand, or direct trauma |
Elbow dislocation | Fall on to an extended elbow Common in sport in the young |
Radial head and neck fractures4
Back to contentsMechanism of injury
These are most commonly caused by a fall on to an outstretched arm. Radial head fracture is the most common fracture around the elbow joint in adults, whereas radial neck fractures occur more commonly in children.
Clinical features
The patient presents with swelling over the lateral elbow with limited range of motion, particularly forearm rotation and elbow extension ± elbow effusion and bruising. Pain is increased with passive rotation.
The most reliable clinical sign is point tenderness over the radial head.
Needs careful assessment for nerve and vascular involvement, especially with brachial artery, median and ulnar nerves.
It is important to detect crepitation or a mechanical blockage of motion from displaced fracture fragments. This often requires aspiration of a haemarthrosis with the instillation of local anaesthetic for pain relief.
If there is significant wrist pain and/or central forearm pain, there may be acute longitudinal radioulnar dissociation with disruption of the distal radioulnar joint.
Investigations
AP and lateral X-ray views of the elbow are usually sufficient.
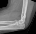
Findings may be quite subtle and the only clue may be the fat pad sign (triangular radiolucent shadows anterior and posterior to the distal humerus on lateral X-ray, indicating haemarthrosis and displacement of intra-articular fat pad - often associated with intra-articular skeletal injury).
Image of elbow fat pad sign (Hellerhoff (own work), via Wikimedia Commons):
Elbow fat pad sign

© James Heilman, MD, CC BY-SA 4.0, via Wikimedia Commons
James Heilman, MD, CC BY-SA 4.0, via Wikimedia Commons
Management of elbow fractures
Refer for urgent surgical treatment if there is elbow fracture, dislocation or evidence of nerve or vascular involvement.
Complex fractures require open reduction and internal fixation.
Otherwise, give sufficient analgesia and consider joint aspiration and instillation of anaesthetic (usually in expert hands).
Immobilise the elbow in a long arm posterior splint with the elbow at 90°.
In non-displaced fractures, remove the posterior splint and replace with a sling for comfort only; monitor for displacement and institute active range of movement exercises, including rotation, flexion and extension at least 3-4 times daily.
A Cochrane review from 2011 found that there was a lack of reliable evidence to answer the question of whether early mobilisation improved function without increasing complications in adults with elbow fractures.5
In children
Can be difficult to diagnose, as radial head ossification does not occur until the age of 4 years.
There may be an associated ulnar shaft fracture (equivalent to adult Monteggia's fracture).
Ultrasound or MRI scanning may be needed to confirm the diagnosis.
Continue reading below
Olecranon fractures6
Back to contentsMechanism of injury
These are low-energy fractures which occur most commonly in the elderly and result from indirect trauma caused by a sudden pull of the triceps and brachioradialis muscles.
However, in younger patients, olecranon fractures usually follow a direct blow to the point of the elbow and are often comminuted, and there may be an associated ulnar shaft fracture.
Clinical features
The patient presents with swelling and tenderness over the olecranon with haemarthrosis and limited range of motion.
There is an inability to extend the elbow against gravity, indicating dysfunction of the triceps lever.
There is a need to check for ulnar nerve damage and examine distal pulses.
Investigations
True lateral X-ray of the elbow should reveal the fracture.
Management
Immobilise the elbow in a long arm posterior splint with the elbow in 60-90° flexion, well moulded posteriorly.
Support the arm with collar and cuffs or a standard arm sling.
Refer displaced fractures for surgery. In non-displaced fractures, splint for 5-7 days, remove and repeat X-ray to confirm non-displacement.
If still stable, gentle supination and pronation exercises are appropriate, using a sling or removable posterior splint for comfort.
Flexion and extension exercises after two weeks.
Fractures of the coronoid process7
Back to contentsMechanism of injury
The mechanism of injury is as for elbow dislocation and such fractures are associated with elbow dislocation in about 40% of cases.
Clinical features
Patients present with tenderness over the antecubital fossa and swelling about the elbow.
Check strength of the radial pulse with the elbow at 90°.
Investigations
Lateral X-ray of the elbow should demonstrate a coronoid fracture.
Management
Non-displaced fractures should be immobilised in a long arm posterior splint with the elbow at 90° and the forearm in full supination. After three weeks, start active range of movement exercises using a sling for comfort.
Displaced fractures or those involving >50% of process need surgical repair.
Continue reading below
Fractures of the distal humerus8
Back to contentsMechanism of injury
They may occur in young patients after high energy traumas or in elderly osteoporotic patients after low energy injuries.
Supracondylar/transcondylar - most are extension-type injuries from a fall on to an outstretched arm.
Transcondylar fractures are more common in the elderly.
Supracondylar fractures are more common in children.
Clinical features
The patient usually presents with elbow swelling and pain.
Undertake careful examination for neural or vascular involvement due to risk of damage to the brachial artery and nerve.
Marked swelling of the forearm or palpable induration of forearm flexors, with pain on passive extension of the fingers, suggests acute volar compartment syndrome requiring emergency fasciotomy.
Up to 18% of humeral shaft fractures have an associated radial nerve palsy.9
Investigations
AP and lateral X-rays of the elbow.
Management
All but non-displaced or minimally displaced fractures without neural or vascular involvement should be referred for surgical repair - although a Cochrane review found a lack of consensus on best surgical management.10
Immobilise the elbow in a long arm posterior splint with the elbow at 90° to the forearm in neutral rotation.
Check distal pulses after the splint has been applied and, if absent, extend the elbow to the point where pulses return.
Frequent checking of neural and vascular function is essential during the first 7-10 days, and ice and elevation are important in reducing swelling.
Re-examine within 24-48 hours.
After two weeks, patients should remove the splint and perform gentle exercises, continuing to use a splint for approximately six weeks, and then starting vigorous exercises.
Intercondylar fractures
Back to contentsThese are T- or Y-shaped fractures with varying displacement between the condyles and the humerus.
Mechanism of injury
Commonly caused by a direct or indirect blow to the elbow. The olecranon is forced as a wedge between the two condyles of the humerus.
Clinical features
The patient usually presents with marked tissue swelling, holding their forearm in pronation.
The injured forearm may appear shortened.
Crepitus of movement may be felt when condyles are pressed together.
Investigations
AP and lateral views should reveal the intercondylar fracture.
Management
Most fractures require surgery because they are displaced.11
Refer for orthopaedic opinion.
Rarely, non-displaced fractures can be treated similarly to non-displaced supracondylar fractures, as above.
Condylar fractures12
Back to contentsMechanism of injury
Lateral condyle fractures are more common than medial.
Lateral fractures are usually due to a sudden varus stress on an elbow in extension - a fall on an extended elbow.
Medial fractures are due either to impact to the olecranon with a flexed elbow or sudden valgus stress on an elbow in extension.
Clinical features
Patients usually present with swelling, limited range of movement and tenderness over the injured condyle.
Crepitus with motion is frequently present.
Investigations
AP and lateral X-rays reveal a widened intercondylar distance and there may be displaced fracture fragments.
Management
Aspiration of joint haemarthrosis relieves discomfort.
Displaced fractures require surgical correction.13
Undisplaced fractures can be treated with a long arm posterior splint with the elbow at 90°.
Capitellum fracture14
Back to contentsMechanism of injury
These fractures are usually caused by a fall on to the outstretched hand or by direct trauma.
Clinical features
These fractures involve the distal humeral articular surface.
Present with anterior elbow pain and effusion.
Investigations
Lateral and AP radiography usually reveals the fracture.
Management
Undisplaced fractures may be splinted but more usually they are displaced and require surgical fixation.
Elbow dislocation
Back to contentsElbow dislocation is the second most common major joint dislocation.9 The 'terrible triad of the elbow' refers to a combination of elbow dislocation and radial head and coronoid process fracture - it is notoriously difficult to manage although a systematic review found that whilst complications are common, functional outcomes are generally satisfactory.15
Mechanism of injury
Often due to a fall on to an extended elbow.
Those without fracture are termed simple, whereas dislocations with fracture are termed complex.
They are classified according to position of the ulna in relation to the humerus after injury.
Clinical features
Often associated with injury to brachial artery and nerve, so undertake a full examination of distal pulses, and median and ulnar nerve function.16
The patient usually presents with severe pain, with the elbow flexed and swelling and deformity apparent.
Investigations
AP and lateral X-rays of the elbow to confirm dislocation and exclude fractures.
Management of elbow dislocation
Prompt reduction is essential. This is usually performed under IV sedation and with adequate analgesia.
Posterior dislocation: 17
First try countertraction on the humerus while applying longitudinal traction on the wrist and forearm.
Continue distal traction as the elbow is flexed.
May need downward pressure on the proximal forearm.
If this fails, place the patient face down with the elbow hanging off the side of the table and place a small pillow under the humerus just proximal to the elbow joint; hang a 2.5-10 kg weight from the wrist or apply gentle longitudinal traction.
Usually reduces within several minutes but may need forward pressure on the olecranon.
Anterior dislocation: 18
Basically the reverse of the above, applying posterior and downward pressure to the forearm whilst applying anterior pressure from behind to the distal humerus.
After reduction, test joint mobility and stability and check neural and vascular function. Repeat X-ray and immobilise the elbow in a posterior splint with the elbow at 90°.
Further reading and references
- Shearman C and El-Khoury G; Pitfalls in the Radiologic Evaluation of Extremity Trauma: Part I. The Upper Extremity, Am Fam Phys 1998 March 1;57(5):995-1006.
- Galbiatti JA, Cardoso FL, Ferro JAS, et al; Terrible triad of the elbow: evaluation of surgical treatment. Rev Bras Ortop. 2018 Jun 11;53(4):460-466. doi: 10.1016/j.rboe.2018.05.012. eCollection 2018 Jul-Aug.
- Lu X, Yan G, Lu M, et al; Epidemiologic features and management of elbow dislocation with associated fracture in pediatric population. Medicine (Baltimore). 2017 Dec;96(48):e8595. doi: 10.1097/MD.0000000000008595.
- Sonin A; Fractures of the elbow and forearm. Semin Musculoskelet Radiol. 2000;4(2):171-91.
- Appelboam A, Reuben AD, Benger JR, et al; Elbow extension test to rule out elbow fracture: multicentre, prospective validation and observational study of diagnostic accuracy in adults and children. BMJ. 2008 Dec 9;337:a2428. doi: 10.1136/bmj.a2428.
- Jie KE, van Dam LF, Verhagen TF, et al; Extension test and ossal point tenderness cannot accurately exclude significant injury in acute elbow trauma. Ann Emerg Med. 2014 Jul;64(1):74-8. doi: 10.1016/j.annemergmed.2014.01.022. Epub 2014 Feb 13.
- Saeed W, Waseem M; Elbow Fractures Overview.
- Harding P, Rasekaba T, Smirneos L, Holland AE. Early mobilisation for elbow fractures in adults; Cochrane Database of Systematic Reviews 2011, Issue 6. Art. No.: CD008130. DOI: 10.1002/14651858.CD008130.pub2.
- Sullivan CW, Herron T, Hayat Z; Olecranon Fracture.
- Lowery M, Massey P; Coronoid Fractures.
- Saracco M, Smimmo A, De Marco D, et al; Surgical approach for fracture of distal humerus: Posterior vs lateral. Orthop Rev (Pavia). 2020 Jun 25;12(Suppl 1):8664. doi: 10.4081/or.2020.8664. eCollection 2020 Jun 29.
- Elbow Joint Menu; Wheeless' Textbook of Orthopaedics
- Wang Y, Zhuo Q, Tang P, et al; Surgical interventions for treating distal humeral fractures in adults. Cochrane Database Syst Rev. 2013 Jan 31;1:CD009890. doi: 10.1002/14651858.CD009890.pub2.
- Tomori Y, Sudo Y, Iizawa N, et al; Intercondylar fracture of the distal humerus in a 7-year-old child: A case report and a review of the literature. Medicine (Baltimore). 2017 Feb;96(6):e6085. doi: 10.1097/MD.0000000000006085.
- Martins T, Tiwari V, Marappa-Ganeshan R; Pediatric Lateral Humeral Condyle Fractures.
- Tomori Y, Nanno M, Takai S; Posteromedial elbow dislocation with lateral humeral condylar fracture in children: Three case reports and a literature review. Medicine (Baltimore). 2018 Sep;97(36):e12182. doi: 10.1097/MD.0000000000012182.
- Majeed M, Thahir A, Krkovic M; The Operative Management of Capitellum Fractures. Cureus. 2024 Apr 29;16(4):e59326. doi: 10.7759/cureus.59326. eCollection 2024 Apr.
- Laumonerie P, Mansat P; Terrible triad injury of the elbow: a spectrum of theories. JSES Int. 2023 Apr 15;7(6):2565-2568. doi: 10.1016/j.jseint.2023.03.018. eCollection 2023 Nov.
- Sheps DM, Hildebrand KA, Boorman RS; Simple dislocations of the elbow: evaluation and treatment. Hand Clin. 2004 Nov;20(4):389-404.
- Waymack JR, An J; Posterior Elbow Dislocation.
- Decker N, Norse A; Anterior Elbow Dislocation.
Continue reading below
Article history
The information on this page is written and peer reviewed by qualified clinicians.
Next review due: 26 Jun 2027
27 Jun 2024 | Latest version

Ask, share, connect.
Browse discussions, ask questions, and share experiences across hundreds of health topics.

Feeling unwell?
Assess your symptoms online for free